Healthy gums are the foundation of a strong, confident smile. Our clinic provides advanced gum disease treatment designed to prevent, manage, and restore gum health at every stage. With a focus on modern techniques and personalized care, we help you maintain optimal oral health and avoid long-term complications.
Gum disease treatment focuses on diagnosing and managing infections that affect the gums and supporting structures of the teeth. Gum disease typically begins as gingivitis, a mild form of inflammation, and can progress into periodontitis if left untreated.
With gum disease treatment , the goal is to remove plaque and bacteria buildup that cause infection. Treatments may include deep cleaning procedures such as scaling and root planing, which clean below the gum line and smooth the tooth roots.
Patients seeking periodontal disease treatment often require more advanced care if the disease has progressed. Gingivitis treatment is typically simpler and focuses on improving oral hygiene and preventing further damage.
Early diagnosis and treatment are essential to prevent tooth loss and maintain healthy gums.
Gum disease treatment is necessary to prevent serious oral health issues and protect your teeth and gums from long-term damage.
You may need gum disease treatment in Phillipsburg, NJ if you have:
Choosing periodontal disease treatment in Phillipsburg, NJ helps stop the progression of gum disease. Many patients also seek for early intervention and better outcomes.
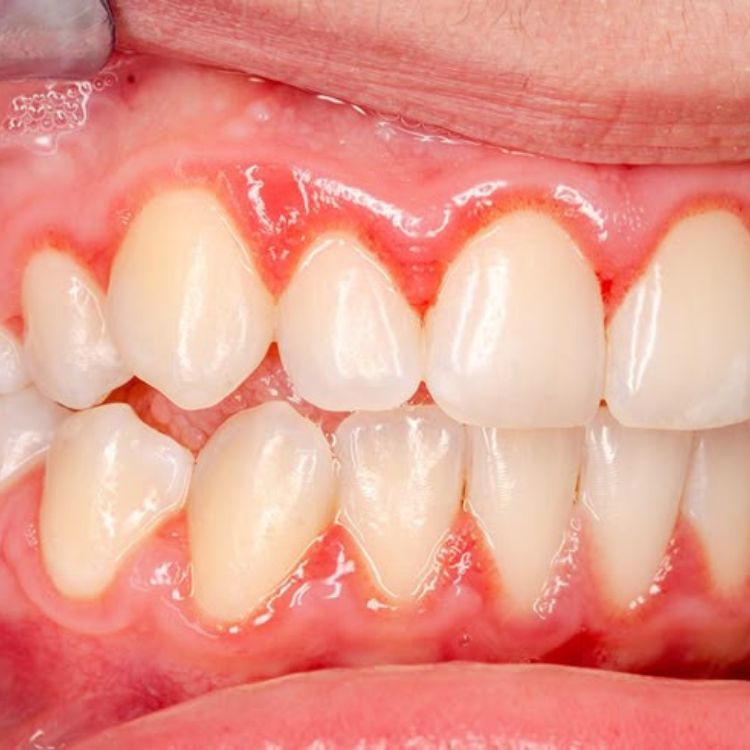
Recognizing the early signs of gum disease can help prevent serious complications.
Common signs include:
If you notice these symptoms, seeking gingivitis treatment can help restore your gum health and prevent further damage.
Dr. Jonathan Saliby evaluates your gums and measures pocket depth.
Plaque and tartar are removed from the tooth surface.
Deep cleaning is performed to remove bacteria below the gum line.
Antibacterial treatments may be used to control infection.
Regular check-ups ensure proper healing and maintenance.
Surgical procedures may be recommended for severe cases.
Treatment helps preserve teeth by stopping gum disease progression.
Reduces inflammation and restores healthy gum tissue.
Removes harmful bacteria and prevents further spread.
Cleaner gums and teeth make daily care more effective.
Treating infection helps eliminate persistent bad breath.
Healthy gums contribute to better overall health and well-being.
Treating gingivitis early prevents progression to severe gum disease.
Brushing and flossing daily help maintain results.
Routine check-ups help monitor and manage gum health.
Avoiding smoking and maintaining a healthy diet supports gum health.
Contact us today to schedule your visit and take the first step toward a healthier smile.